Mon - Tue 8AM - 5PM | Wed - Thurs 7:30AM - 5PM | Fri 8AM - 3PM
(407) 843-4091

905 East Michigan Street Orlando, FL 32806
sperlingdds@bellsouth.net

Before After | Sperling Dental
Dental Office Building

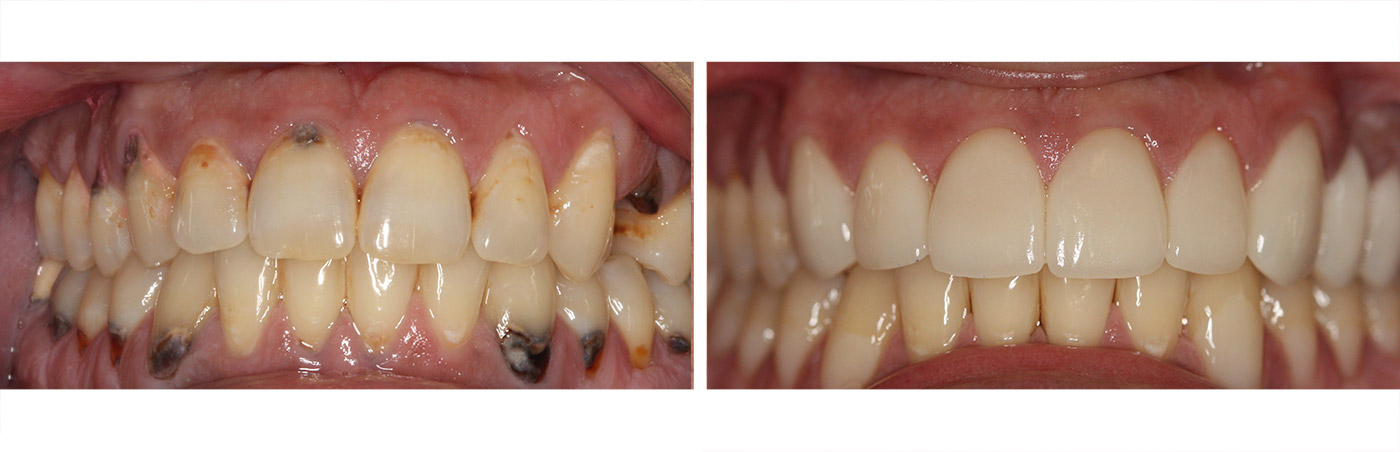
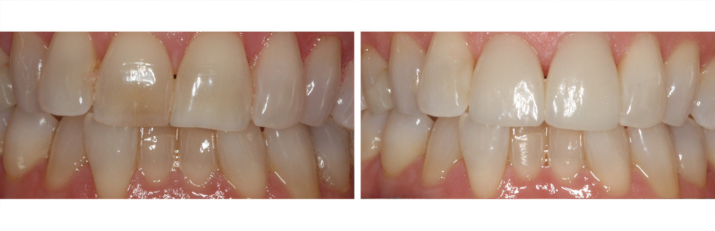
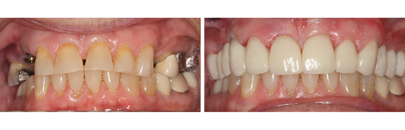
Before & After

1 2 3 4 5 6 7 8